Mnogi bolniki pred postavitvijo diagnoze dolgo iščejo odgovor na vprašanje, kaj se z njimi dogaja. Utrujenost, kašelj in bolečine v sklepih pogosto sprva pripišejo stresu ali preobremenjenosti, zato lahko pomembno vlogo pri samem prepoznavanju bolezni igrajo tudi svojci in prijatelji.
Zdravljenje bolezni zahteva multidisciplinarni pristop, bistven vpliv na samo uspešnost zdravljenja in kakovost življenja bolnika pa ima pravočasno prepoznavanje bolezni same. Prav zato je ozaveščanje o sarkoidozi nadvse pomembno, tako za zgodnje prepoznavanje kot tudi zmanjševanje stisk bolnikov in blaženje simptomov.
Vsi smo zagotovo že slišali za astmo in kronično obstruktivno bolezen pljuč, obstaja pa tudi vrsta manj pogostih, resnično redkih bolezni, ki prizadenejo tudi dihala. Večinoma gre za bolezni, pri katerih pomembno vlogo igra tudi genetska nagnjenost, bolezni, ki se izrazijo že v otroštvu. A ne vedno. Med redke sodi sarkoidoza, ki pa ne prizadene le pljuč, temveč praktično kateri koli organ v našem telesu.
»Sarkoidoza je večorganska bolezen neznanega vzroka. Običajno zbolijo mladi in odrasli srednjih let. Pogosto so obojestransko prizadete hilusne bezgavke, pljuča, oči in koža. Jetra, vranica, bezgavke, žleze slinavke, srce, živčni sistem, mišice in drugi organi so prizadeti redkeje. Za postavitev diagnoze so potrebne klinične in radiološke ugotovitve, podprte s histološkim dokazom nekazeoznih epiteloidnoceličnih granulomov. Ob tem je treba izključiti znane vzroke za nastanek granulomov in lokalno sarkoidno reakcijo. Potek in napoved sta odvisna od pojavne oblike in teže bolezni,« pojasni Klara Svenšek, dr. med., spec. interne medicine, z Oddelka za pljučne bolezni na kliniki za interno medicino Univerzitetnega kliničnega centra Maribor.
Njena pojavnost je redka, za sarkoidozo zboli 1 do 11 bolnikov na 100.000 prebivalcev letno.
Bolezen se pogosteje pojavlja pri ženskah, največkrat med 20. in 50. letom.
Pomemben dejavnik tveganja poleg genetske nagnjenosti predstavljajo številni okolijski in poklicni dejavniki, a ker natančna imuno patogeneza sarkoidoze še ni povsem pojasnjena, ni znano, ali sama izpostavljenost tem snovem povzroča bolezen ali le naredi imunski sistem dovzetnejši za razvoj same bolezni.
Med dejavniki, ki lahko sprožijo granulomatozno vnetje, so številne mikobakterije in glive (ki lahko povzročijo granulomatozne okužbe), okužbe z virusi, anorganske in organske snovi.
Genetsko občutljive osebe so bistveno bolj izpostavljene posameznim dejavnikom iz okolja, ki posredno povzročajo razvoj same bolezni, zaradi same vpletenosti imunskega sistema pa nekateri še vedno zagovarjajo tezo, da gre za avtoimunsko bolezen.
Raziskave so potrdile večjo prisotnost bolezni pri ljudeh z določenimi histokompatibilnostnimi antigeni, največkrat geni HLA, ki sodelujejo pri imunskem odzivu, zlasti aktivaciji T-celic. Sarkoidoza kot taka je najverjetneje posledica dolgotrajnega imunskega odziva na antigen, ki ga telo ne more učinkovito odstraniti. V primeru sarkoidoze je obrambni mehanizem telesa, ki nas varuje pred okužbami, pretiran, namesto da bi se po opravljeni nalogi umiril, pa vztraja.
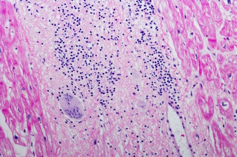
Posledično se sproži čezmeren odziv T-limfocitov (tipa TH1), kar vodi v nastanek granulomov, ki sami po sebi niso nevarni, če pa vztrajajo dlje časa, lahko postopoma okvarijo prizadeti organ.
Granulomi se razvijejo v vseh prizadetih organih in tkivih, sestavljajo pa jih epiteloidne celice. V samem procesu sanacije vnetja pri nekaterih bolnikih granulomi izginejo, medtem ko pri drugih fibrozirajo, zaradi česar je lahko obsežna pljučna sarkoidoza tudi vzrok za nastanek pljučne fibroze. Ozadje tega prav tako ni povsem pojasnjeno, kot tudi vzročnost bolezni same.
Potek bolezni in simptomatika sta pogosto spremenljiva in nepredvidljiva. Začetni simptomi so pogosto blagi in nespecifični.
Pri nekaterih bolnikih se razvije akutna oblika sarkoidoze (t. i. Loefgrenov sindrom), za katero so značilne vročina, bolečine v sklepih, rdečina in izpuščaji (t. i. nodozni eritem) in povečanje bezgavk.
Kot omenjeno, gre za široko paleto simptomov, ti pa so odvisni v veliki meri od tega, kateri organ je prizadet.
Preberite tudi prispevek: Nadležni kašelj
Pri nekaterih posameznikih bolezen poteka akutno in izzveni, medtem ko lahko pri drugih bolezen poteka z življenjsko ogrožajočimi zapleti. Prav zaradi izjemno raznolike klinične slike – bolezen v 90 % bolnikov prizadene pljuča, sicer pa lahko prizadene kateri koli organ, tudi kožo, oči, periferni bezgavični sistem, jetra itd. – so nekateri prepričani, da je sarkoidoza predvsem skupek različnih sindromov, vsak od njih pa je posledica različnih etiologij in izpostavljenosti različnim dejavnikom.
Če težave trajajo več tednov ali se postopno stopnjujejo, je nujno poiskati zdravniško pomoč. Zgodnje ukrepanje lahko prepreči napredovanje bolezni in zmanjša tveganje za trajne okvare.
Vnetje sčasoma poškoduje organe in zmanjšuje kakovost življenja posameznika, bolezen pa ne vpliva le na telesno zdravje, temveč tudi na vsakdanje življenje. Bolniki pogosto poročajo o zmanjšani telesni zmogljivosti, težavah pri opravljanju dela ter občutku, da ne zmorejo več vsega, kar so nekoč. Zanesljivih pokazateljev, ki bi napovedali potek bolezni, ni, prav tako ne poznamo zdravljenja, ki bi odpravilo njen vzrok. Za potrditev diagnoze nista dovolj le pogovor z bolnikom in rentgenska slika pljuč. Zdravnik mora z odvzemom vzorca tkiva dokazati značilne vnetne spremembe (t. i. granulome) ter hkrati izključiti druge bolezni, ki lahko povzročajo podobne spremembe, predvsem tuberkulozo in glivične okužbe.
V Sloveniji vsako leto diagnosticiramo okrog 60 novih bolnikov s sarkoidozo. Ob sumu na bolezen osebni zdravnik bolnika napoti k pulmologu. Včasih se bolezen naključno odkrije ob rentgenskem slikanju prsnega koša zaradi povečanih bezgavk.
Zdravljenje temelji na zdravilih, ki zavirajo delovanje imunskega sistema (na primer kortikosteroidi in druga imunosupresivna zdravila), sicer pa sama bolezen zahteva celosten, multidisciplinaren pristop.
Zdravljenje sarkoidoze pogosto poteka v sodelovanju več specialistov, od pulmologa do oftalmologa, kardiologa ali nevrologa, odvisno od prizadetih organov.
»Glede na stadij bolezni, prizadetost organov in simptomatiko se odločamo, ali bomo bolnika zdravili ali le spremljali. Zdravljenje po navadi začnemo s sistemskim kortikosteroidom, odmerek postopoma znižujemo in skrbno spremljamo učinkovitost zdravljenja ter morebitne stranske učinke. Mnogi bolniki dosežejo spontano remisijo bolezni tudi brez specifičnega zdravljenja (pri prvem radiološkem stadiju približno 60–80 % bolnikov). Bolnike spremljamo v pulmoloških ambulantah s kliničnim pregledom, RTG pljuč in preiskavo pljučne funkcije,« potrdi Klara Svenšek, dr. med., spec. interne medicine, s Klinike za interno medicino UKC Maribor.
Četudi zdravljenje ni potrebno, so za spremljanje poteka bolezni nujne redne kontrole, saj s kliničnimi pregledi, slikanjem pljuč in meritvami pljučne funkcije zdravniki pravočasno zaznajo morebitne spremembe ter ustrezno prilagodijo zdravljenje.
Preberite tudi: Povečane bezgavke: najpogostejši vzroki in kdaj k zdravniku
Sarkoidoza je večorganska bolezen neznanega vzroka, ki lahko prizadene skoraj kateri koli organ v telesu. Najpogosteje so prizadeta pljuča, bezgavke, oči in koža, redkeje pa tudi jetra, srce, živčni sistem, mišice in drugi organi.
Začetni simptomi so pogosto nespecifični in vključujejo dolgotrajno utrujenost, suh kašelj, rahlo zadihanost ob naporu, nepojasnjeno izgubo telesne teže, spremembe na koži ter povečane bezgavke. Pojavijo se lahko tudi motnje srčnega ritma in povišana telesna temperatura.
Potek bolezni je zelo različen. Pri nekaterih bolnikih bolezen poteka akutno in spontano izzveni, pri drugih pa lahko napreduje in povzroči resne zaplete. V večini primerov so prizadeta pljuča, vendar se lahko bolezen pojavi tudi v drugih organih.
Za potrditev diagnoze niso dovolj le simptomi in rentgenska slika pljuč. Potrebna je biopsija, s katero zdravnik dokaže značilne granulome, hkrati pa mora izključiti druge bolezni, kot so tuberkuloza in glivične okužbe.
Zdravljenje temelji na zdravilih, ki zavirajo delovanje imunskega sistema, najpogosteje kortikosteroidih. Glede na potek bolezni se zdravniki odločijo, ali je zdravljenje potrebno ali zadostuje le spremljanje. Pomemben je multidisciplinarni pristop in redno spremljanje bolnika.
Če simptomi, kot so kašelj, utrujenost ali zadihanost, trajajo več tednov ali se postopno slabšajo, je nujno poiskati zdravniško pomoč. Zgodnje prepoznavanje bolezni lahko prepreči napredovanje in zmanjša tveganje za trajne okvare.